جرم گیری و فلورایدتراپی دندان اصفهان
از خدمات دکتر فاطمه حیدری دندانپزشک اصفهان درمان جرم گیری و فلورایدتراپی دندان می باشد.
اگر به دنبال دندانپزشک خوب برای انجام خدمت جرم گیری و فلورایدتراپی دندان خود هستید ما به شما خانم دکتر فاطمه حیدری بهترین دندانپزشک اصفهان را پیشنهاد میکنیم، چرا؟ تمام خدمات دندانپزشکی توسط دکتر حیدری با پيشرفته ترين و مجهز ترين وسايل و بهترين مواد، با رعايت پروتكل هاي بهداشتي و درمان تحت شرايط كاملا استريل و ست ويژه ي استريل براي هر بيمار به صورت خاص، تدابير ويژه ي كنترل استرس و اضطراب شديد و ترس از دندانپزشكي انجام می شود.
جهت ثبت نوبت و مشاوره رایگان با خانم دکتر می توانید به بخش تماس با ما سایت مراجعه نمایید و از طریق راه های ارتباطی شماره تماس و مراجعه حضوری با خانم دکتر در ارتباط باشید.
جرم گیری دندان فرایندی است که بهصورت روزانه و برای درمان بیماری های لثهای و جلوگیری از تجمع جرم روی دندان انجام می شود. مسواک زدن و شستشوی روزمره دهان فقط سطح رویی دندان را تمیز می کند اما فرایند جرمگیری نقاط عمیق تر را هم پاکیزه نگه می دارد.
فواید جرمگیری دندان
مسواک زدن و شستشوی روزمره دهان از بیماری های لثهای جلوگیری می کند اما جرمگیری دندان و پوشش ریشه برای درمان این بیماری هاست. این روش درمانی که گاهی به آن «شستشوی عمیق» هم گفته می شود، نیازی به جراحی ندارد و برای درمان بیمارانی که پریودنتال مزمن دارند، روش فوقالعادهای است.
دندان یکی از اعضاء مهم بدن است که سلامتی آن نقش بسیار پر رنگی در سلامت عمومی بدن دارد، زیرا اولین مرحله از دریافت انواع غذاها را شامل می شود و اگر دندان بتواند به وظایف خود که خرد و له کردن مناسب مواد غذایی است عمل کند راه را برای هضم بهتر و البته دریافت انرژی مناسب برای بدن هموارتر می کند.از این جهت اصلاح طرح لبخند به منظور داشتن لبخند زیبا از جمله عوامل مهم در علم دندانپزشکی شناخته می شود.
دندان یک امکان شگفت انگیز و یک مکانیسم ویژه در دهان است که سلامت آن مساوی با سلامت بدن است و عفونت و پوسیدگی و خرابی هر کدام از این درهای ارزشمند موجبات ناراحتی و دردهای شدید را برای فرد ایجاد می کند.
از این جهت خود دندان یک مکانیسم دفاعی دارد تا در برابر این پوسیدگی ها و عفونت ها مصون بماند و آن سیستم دفاعی مینای دندان نام دارد.
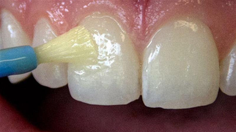
فلوراید تراپی
افزایش سیستم دفاعی مینای دندان
اما برای کمک به این سیستم دفاعی یعنی مینای دندان، راه های مختلفی وجود دارد که مهم ترین آن صحیح مسواک زدن و نخ دندان کشیدن و استفاده از دهان شویه است اما راه دیگری نیز وجود دارد و آن استفاده از فلوراید است.
فلوراید یک ماده معدنی است که در بسیاری از غذاها مانند چای، آب، غذاهای دریایی، انواع سبزی و… وجود دارد.
این ماده در ساختار برخی بافتهای بدن انسان مانند استخوانها و دندانها تجمع مییابد.
ماده ای که کمابیش نام آن را در تبلیغات انواع خمیر دندان ها شنیده ایم و از آن به عنوان عاملی برای کمک به استحکام مینای دندان نام می برند و مانع از پوسیدگی دندان ها می شود.
مینای دندان یک پوشش سخت و نفوذ ناپذیر است که بر روی دندان قرار دارد و از پوسیدگی و خرابی دندان جلوگیری می کند.
در این میان بزاق دهان هم به حفظ و میکروب زدایی از مینای دندان کمک می کند اما گاه فرد با رعایت نکردن بهداشت دهان و دندان و استفاده از مواد غذایی نامناسب همچون نوشابه و …… موجبات ازدیاد باکتری ها در دهان را فراهم می کند و به آرامی و به مرور زمان مینای دندان آسیب می بیند و این سیستم دفاعی از بین می رود.
جذب طبیعی یا موضعی فلوراید
همانطور که گفتیم فلوراید به صورت طبیعی در مواد غذایی وجود دارد اما از مسیر معده-رودهای داخل خون سپس در استخوانها و دندانها انباشته یا از طریق کلیه دفع میشود و شاید تاثیری که قابل انتظار است را نداشته باشد.
اما در فلوراید تراپی، فلوراید صرفا به صورت موضعی برای دندان استفاده می شود و تاثیرات مستقیم و بیشتری دارد.
فلوراید تراپی در کودکان
فلوراید تراپی برای همه ی کودکان حتی آنان که مشکلی از نظر پوسیدگی دندان ندارند توصیه می شود زیرا به سبب سن کم، توجه کافی به بهداشت دهان و دندان ندارند و با این شیوه می توان بسیاری از نگرانی ها برای از بین رفتن دندان ها را کاهش داد.
آیا فلورایدتراپی فقط برای کودکان استفاده می شود؟
خیر، فلورایدتراپی برای بزرگسالان نیز اثرات مثبتی دارد، زیرا فلوراید نه تنها در پیشگیری از ضایعه جدید پوسیدگی روی دندان موثر است، بلکه در توقف یا حداقل کند کردن روند پیشروی ضایعات پوسیدگی فعال اولیه روی سطح دندان نقش مهمی دارد.
در صورت مفید بودن مطلب را با دوستان خود بهاشتراک بگذارید.
دكتر فاطمه حيدری
جراح -دندانپزشک
جهت کسب اطلاعات تماس دکتر فاطمه حیدری به بخش تماس با ما سایت مراجعه نمایید.
دوستان عزیز می توانید از طریق بخش دیدگاه ها سوالات دندانپزشکی خود را از خانم دکتر فاطمه حیدری بهترین دندانپزشک اصفهان بپرسید.




